Мисюра Федір

Мисюра Федір Миколайович 1983 року народження, одружений, донечка Софійка 2012 року народження, головний спеціаліст управління транспорту і зв’язку виконавчого комітету Рівненської міської ради.
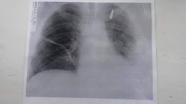
Мобілізований 15.08.2014 року, з жовтня місяця перебуває в зоні АТО. Важке поранення отримав вночі 15 січня 2015 року, перебуваючи в Донецькому аеропорту.
На даний момент знаходиться в критичному стані в Дніпропетровській лікарні №16.
UPD(27.01.2015): Зараз знаходиться у Вінниці
UPD (13.02.2015) Бійцю зробили надскладну операцію у Вінницькому госпіталі . Видалили кулю, яка мігрувала і щосекунди могла обірвати життя чоловіка. Кулю видалили разом зі шматком легені. Федір бореться. Заради дружини, заради донечки, заради нас з вами і нашої віри в хороше. Бореться, щоб вчергове не вбивати нашу надію. Давайте допоможемо Федору боротись.
UPD (6.03.2015) Надскладна операція пройшла успішно.
На початку березня Федір повернувся додому.
Почувається нормально, хоча місце поранення час від часу дає про себе знати.
Нині проходить реабілітацію в санаторії в Трускавці.
По розрахункових даних: фінансово допомогти бійцю можна перерахувавши кошти на картку дружини: 4149 4978 2855 8223 (Мисюра Марія Петрівна).
Для юридичних осіб: 3193810945
Реквізити:
ПриватБанк:
МФО банку 305299
КОД ОКПО Банку 14360570
Рахунок отримувача 29244825509100



